Staple line leaks after bariatric surgery are uncommon, but one of the main short-term risks we look for after a sleeve gastrectomy, gastric bypass, or duodenal switch. These leaks are a risk for about the first four weeks surgery. To understand what a staple line leak is, first you should know what the staples look like and how the stapler functions!
Watch this quick video that shows the staplers that are used in the state-of-the-art technique we utilize at JourneyLite.
We use Medtronic’s new Signia smart stapler and Tisseal or Evicel fibrin sealant on all our staple lines. The Signia stapler is the first of it’s kind, utilizing Adaptive Firing™ technology to measure the tissue thickness and adjust accordingly to enable the formation of more perfect staple lines. After the staple line is complete, then a fibrin sealant product such as Evicel is applied which forms a fibrin clot, like a glue, to further reduce the risk of bleeding and potentially leaks as well.
These staplers fire 6 rows of tiny little titanium staples and divides down the middle, leaving 3 rows of staples on each side of the two staple lines. Three rows of staples provides for a stronger staple line and reduces the chance of leaks and bleeding.
While staple line leaks for gastric bypass and SIPS/SADI can occur early, a staple line leak after a sleeve usually happens in the 3rd or 4th week after surgery, when a few staples pop out (usually for unknown reasons). This can allow gastric contents to leak out from the sleeve and into the abdominal cavity. Most of the time when this happens it results in a small fluid collection, or “abscess”, next to the sleeve. The risk of a staple line leak after bariatric surgery is low, in most published studies around 1-2%. With this new equipment, our leak rate is around 0.5% on cases that are not revisions.
- What are the signs of a leak?
- Surgery type:
- Sleeve: The patient is usually 2-4 weeks out from surgery
- Bypass: The patient is usually less than 7 days out from surgery
- SIPS: The patient is usually less than 1 month out from surgery.
- Fevers (over 100.4)
- Left upper quadrant or diffuse belly pain
- Increasing pain each day (as opposed to normally decreasing pain)
- Rarely ever happens after 6th week
- Surgery type:
- How are leaks diagnosed?
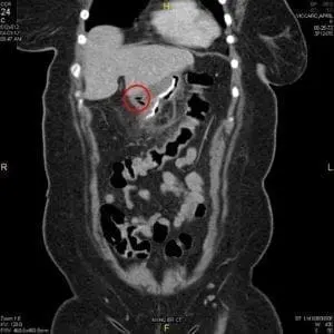
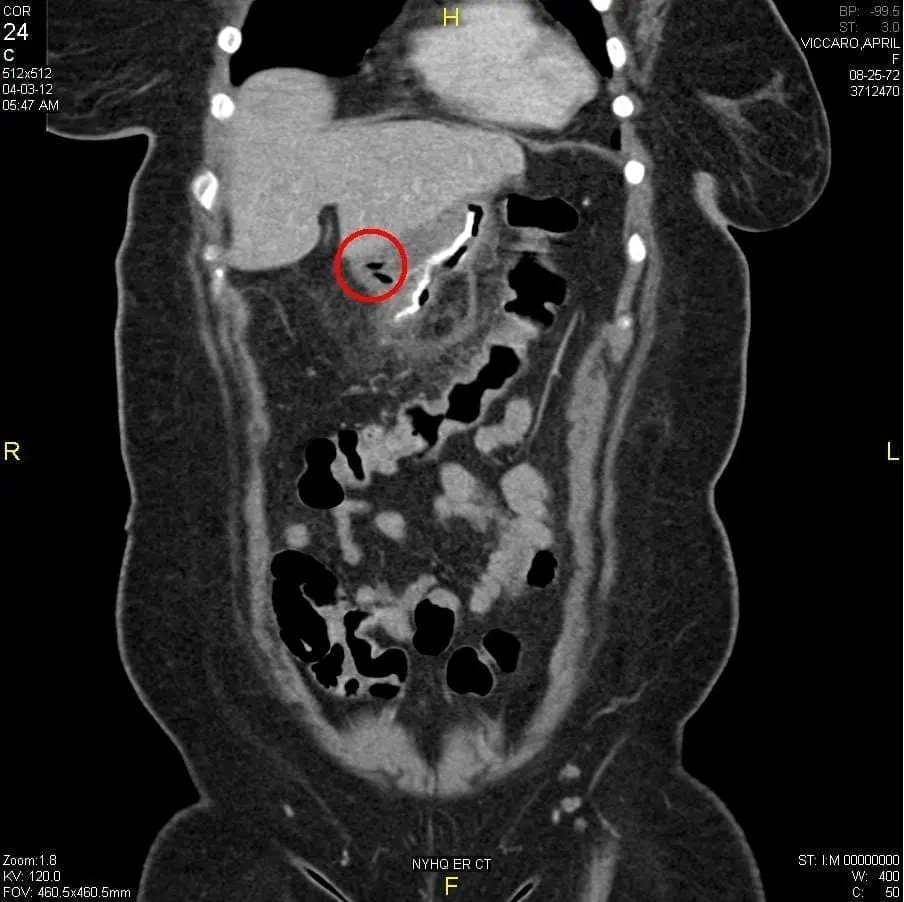
- CT scan

A CT scan is often the first test done when staple line leaks after bariatric surgery are suspected. In the image above next to the red circle you can see a bright white line, which is the staple line. Within the red circle you can see some air bubbles (which appear black). These air bubbles are outside of the staple line, showing that some air that the patient swallowed is now outside of the sleeve.
CT scans are good not only for finding staple line leaks after bariatric surgery, but also for treating them. In some cases the radiologists can insert a small drain tube (called a percutaneous drain) into the area where the leak is, to allow any infection to drain out. This drain is then left in until the leak heals.
- Upper GI

Esophagram showing leak after gastric sleeve
Upper GI’s are xrays that are done under live fluoroscopy while the patient swallows some contrast dye. The contrast dye shows up as white on an xray. In the xray above the sleeve is the long column of white dye that heads up towards the upper left corner of the xray. You can see a small amount of dye within the red circle, that is outside of the sleeve. This indicates a leak.
- Endoscopy

An endoscopy is when we sedate a patient and insert a scope into the mouth, down through the esophagus, and into the sleeve. They are useful mainly for treating leaks, but can at times be used to diagnose them as well. The image above shows the view through the endoscope of a sleeve. Within the red circle you can see a small pinhole leak. In this case multiple treatment options could be used, including clips or endoscopic sutures to close the leak, or more commonly inserting an esophageal stent to cover the leak.

Depending on the type, stents are left in place for around 2-8 weeks. This allows time for the leak to heal while the stent provides coverage to prevent further leakage. During this time usually a drain has already been put in already, and the patient is given IV antibiotics and IV nutrition. Although many leaks will heal without further intervention, some patients require surgery to correct those that will not heal with stenting or other endoscopic treatments.
In summary, staple line leaks after bariatric surgery are uncommon but a known possibility. They are not life threatening as long as they are promptly treated, and they usually can be resolved without surgery. At JourneyLite Physicians we take every step we can to reduce your risk of a complication after surgery, but the patient must participate also. In order to reduce your risk of a leak, be sure to follow our dietitian’s instructions on your post-op diet!

